
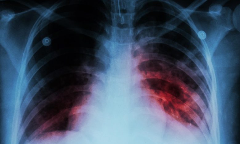
La tuberculosis volvió a instalarse en la agenda sanitaria tras los datos difundidos por el Ministerio de Salud y Deportes, y en Mendoza las cifras muestran un escenario particular: si bien hay casos activos, la provincia mantiene una tasa significativamente más baja que el promedio nacional.
Según confirmó Beatriz Ocaña, jefa del Programa de Tuberculosis, durante 2025 se notificaron 122 casos en el sistema nacional, lo que representa una tasa de 6 casos cada 100.000 habitantes. El dato contrasta con la media del país, que asciende a 37,3 cada 100.000, con mayor incidencia en el Área Metropolitana de Buenos Aires y provincias del norte como Jujuy, Formosa y Chaco.
La tuberculosis, por ser una enfermedad infectocontagiosa, está alcanzada por la Ley 15.465, que obliga a los efectores sanitarios, sean públicos o privados, a reportar cada diagnóstico positivo. “Los médicos y laboratoristas están obligados a realizar las denuncias de casos positivos en el Sistema Nacional de Vigilancia Epidemiológica”, explicó Ocaña, al detallar el mecanismo de registro de casos.
Cómo evolucionaron los casos
En términos históricos, las cifras en Mendoza han mostrado cierta estabilidad y una tendencia a la baja. “Veníamos con tasas de 8, en algunos momentos de 9, el año pasado fue de 7 y ahora cerramos en 6”, precisó la funcionaria.
La Federación Argentina de Empleados de Comercio y Servicios (FAECYS) y las principales cámaras patronales de la actividad oficializaron este jueves el nuevo acuerdo paritario para el sector. El entendimiento, alcanzado dentro de los parámetros fijados por el Gobierno nacional, establece…
Esto ubica a la provincia en una situación relativamente favorable, aunque lejos de relajar la vigilancia. A nivel país, el incremento sostenido de casos mantiene en alerta a las autoridades sanitarias.
Si bien la distribución de casos puede variar según el lugar de notificación, ya que muchos pacientes son derivados a centros de referencia, los departamentos con mayor carga histórica son: Guaymallén, Maipú y Lavalle.
“Puede aparecer con más casos Godoy Cruz, pero muchas veces es porque allí está el hospital Lencinas y se notifican pacientes que viven en otros departamentos”, aclaró Ocaña.
Qué población es la más afectada
El perfil epidemiológico muestra una mayor incidencia en jóvenes y adultos jóvenes, especialmente entre los 15 y 40 años. Sin embargo, también se registra un aumento en adultos mayores.
“El rango etario predominante va de 14 a 40 años, pero también vemos más casos en población mayor, incluso pacientes con cobertura de PAMI”, detalló.
En contraste, los casos pediátricos no han mostrado un crecimiento significativo en el último período relevado por las autoridades sanitarias.
Acceso al tratamiento
El Programa de Tuberculosis funciona con base en el Hospital Lencinas, pero cuenta con una red de profesionales en toda la provincia, incluyendo médicos, enfermeros, bacteriólogos y agentes sanitarios capacitados para detectar casos.
Uno de los pilares es la identificación temprana del paciente sintomático. “Ante una persona que tose y expectora por más de 15 días, se activa la sospecha y se inician los estudios”, explicó la especialista.
El tratamiento es otro punto central: es gratuito y está garantizado. “Todos los procedimientos diagnósticos y la medicación son gratuitos para cualquier habitante”, subrayó Ocaña.
Además, remarcó que completar el tratamiento es clave: “Si el paciente cumple con el tratamiento, se cura”.



